Getting a beautiful and confident smile shouldn’t empty your bank account. For millions, the dream of a beautiful smile has transitioned from an expensive luxury to an achievable reality thanks to medical tourism. This guide will provide you information in understanding dental veneers , global package prices and helping you ensure a world class treatment without the massive price tag.
Dental Veneers and the Rise of Medical Tourism
Dental veneers are thin , custom made shells of porcelain or composite material bonded to the front of your teeth. Veneers can instantly correct your discoloration chips, minor gaps and misalignment give you a dramatically improved smile .
In countries like the USA , UK, Canada and Australia a full smile makeover can easily cost tens of thousands of dollars making it unaffordable for the average person. This is where medical tourism steps in . It can save up to 70% or more on procedures while giving high quality treatment .
The main driver is the difference in operational costs. In destinations like Turkey, Mexico , Thailand and India lower overhead , labor , and insurance costs mean clinics can offer the exact same or sometimes superior materials (like Emax porcelain) at a fraction of Western price .You are not paying for lower quality; you are paying for a different economic environment. This global difference can make your dream smile more accessible.
Is Veneer Smile makeover worth it : benefits of cosmetic dentistry
The value of veneer makeover not only improves the appearance of your teeth but also gives you a new boost in confidence. They empower you to laugh freely and speak confidently. For those struggling with chipped gapped or discolored teeth, the constant worry about how others perceive their smile can be a huge source of reduced self esteem .Veneers help you eliminate that overnight.
Dental benefits of veneers
- Instant correction: unlike orthodontics (braces) which can take years , veneers offer an almost instantaneous transformation. You can get a perfect smile in less than a week
- Stain resistance: Porcelain veneers are highly resistant to staining .Staining can happen due to increased coffee intake or red wine also .Getting porcelain veneers will make sure that you have a pearly white smile all the time .
- Longevity : With proper care high quality porcelain veneers can last 10-15 years pr even longer making them durable , long term solution
Ultimately, the answer to “is it worth it ?” is nearly always yes especially for those who have waited years wanting to improve their smile
Veneer cost in Turkey: A quick look at the global price difference
Turkey is one country that dominates in affordable cosmetic dentistry. Turkey has invested in world class dental clinics , modern technologies like CAD/CAM and Digital Smile design and highly trained dentists, all while keeping prices dramatically low compared to USA, UK and Canada
Why is veneers cost in Turkey so favorable?
- Economic factors: The local currency Turkish Lira exchange rate is highly favorable for patients paying in USD,EUR, or GBP, resulting in massive savings
- High volume: Turkish clinics process a high volume of international patients which allows them to leverage economies of scale and offer competitive all inclusive packages.
- Competition: The sheer density of high quality international clinics in cities like Istanbul and Antalya drives healthy competition keeping prices transparent and reasonable
| Destination | Estimated Cost Per Porcelain Veneer (USD) | Potential Savings (vs. US/UK) |
|---|---|---|
| USA / UK | $1,000 – $2,500 | – |
| Turkey | $200 – $400 | 70% - 85% |
| Mexico | $300 – $800 | 40% - 70% |
| Thailand | $300 – $500 | 50% - 75% |
| Hungary | $400 – $700 | 30% - 60% |
This comparison clearly tells why Turkey is the capital for an affordable high quality smile transformation.
Finding your perfect package: All inclusive veneer package deals in different countries
The true value of medical tourism isn't just the price per veneer , it’s the all inclusive package .Clinics catering to international patients understand that you need a seamless stress free experience .A good package removes the logistical headaches allowing you to focus entirely on your treatment
What to expect in a comprehensive veneers package:
| Component | Description | Why it Matters |
|---|---|---|
| The Veneers. | The cost of the chosen material (E-Max, Zirconium, Composite), lab fees, and final bonding/placement | This is the core treatment, often bundled for a full set (e.g., 16 or 20 veneers). |
| Diagnostics & Prep | Initial consultation, X-rays (often Panoramic or 3D CBCT scans), digital smile design (DSD), and necessary tooth preparation. | Ensures a safe foundation and guarantees your smile design meets your goals |
| Accommodation | 3-star, 4-star, or 5-star hotel stay for the required duration (usually 5-7 days). | Eliminates the hassle of booking and ensures comfortable recovery. |
| VIP Transfers | Private, dedicated transfers between the airport, your hotel, and the clinic for all appointments. | Provides safety, comfort, and removes language barriers during transit. |
| Temporary Veneers. | Custom-made temporary covers worn between the preparation and final placement appointments | Crucial for protecting your prepared teeth and maintaining aesthetics during the process. |
| Aftercare & Warranty | Follow-up check-ups before departure, a care kit (toothpaste, special brush), and a written guarantee on the veneers (typically 5-10 years). | Offers peace of mind and protection for your investment |
Key takeaway: Always ask for a detailed itemized quote .Ensure the quote explicitly states the number of veneer included and the material whether Porcelain or Emax or Composite is used
Full Mouth Veneers Cost: Key details on a complete transformation
A full mouth or full smile makeover doesn’t mean every tooth in your mouth needs a veneer. It refers to the mouth which is visible when you speak and smile.
- 12 veneers (6 top and 6 bottom): This is generally considered minimum for a complete smile makeover, covering the front facing, highly visible teeth.
- 16 veneers (8 top and 8 bottoms): This is the most common and recommended option for a full smile, extending coverage to the first molars or second pre molars. This ensures that when you smile widely, you see a uniform, perfect line of teeth.
- 20 veneers (10 top and top bottom): This option is usually reserved for patients with a very wide smile or those needing correction on teeth further back in the mouth for optimal bite alignment and aesthetics
Material Matters :
The cost is heavily influenced by the veneer material. Make sure to get full information on what material is being used for your veneers
| Material | Aesthetic Quality | Strength/Durability | Cost Comparison |
|---|---|---|---|
| Composite | Good, but prone to staining/chipping over time | Lower | Lowest often $80-$200 per tooth |
| E-Max Porcelain | Excellent high translucency, very natural look | high | Mid range |
| Zirconium | Excellent but less translucent than Emax | Highest best for very dark or heavily restored underlying teeth | highest |
For most patients seeking a natural yet perfect smile, Emax is the gold standard used in most premium packages
The Turkey Advantage:
The veneer cost in Turkey offers savings that are simply unmatched. A top-tier, all-inclusive package in Istanbul or Antalya often falls between $5,000 and $7,500, which is frequently less than the cost of just four single veneers in London or New York. The savings alone often covers the cost of your flights and a luxury vacation.
Quality, Safety and Transformation: How to choose a safe , reputable and high quality facility
Top clinics for veneer packages in leading medical tourism destinations The affordability of the veneer cost in Turkey and other destinations should never come at the expense of quality .Choosing the right clinic is the single most important decision .You should look for facilities that combine value with world class medical standards.
Your essential clinic checklist:
Credentials & Certifications : * Look for international accreditations like JCI or ISO 9001
- Verify the dentist’s credentials. Are they specialized in cosmetic dentistry? Where did they train?
- Confirm that the clinic is licensed by the local Ministry of Health
Communication & Coordinator:
- The clinic must have a dedicated English speaking Patient Coordinator .These people are help your treatment become hassle free and guide you before , during and after the treatment
- They should be able to provide transparent , written quotes and answer all logistical questions
Customer reviews & Case studies :
- Go beyond the clinic website :Check independent , third party review sites .Look for recent reviews and testimonials
- Before and after photos : A reputable clinic will have a defined gallery of their actual work, not just stock photos .Look for patients whose smiles are natural and are seeming to suit the patient’s face .These should not be just one generic type of construction of smile but different and customized for each patient .
CAD/CAM Technology & clinic environment:
- Ask about the technology. Do they use Digital Smile Design (DSD)? This allows you to see and approve new smile digitally before any work begins
- Do they have an in house lab or partner with a high quality local lab? This speeds up the process and allows the dentist to work directly with the technicians
- The clinics should be clean and adhere to strict international hygiene standards
Contract & Warranty :
- A good package should include a written warranty of at least 5-10 years covering breakage or failure of the veneer due to manufacturing defects
- Clarity about the aftercare plan: what happens if you have an issue once you return home? A good clinic will have an international patient support system in place.
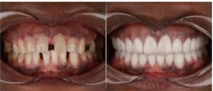
Before and After Veneer Makeovers
The most compelling proof a clinic is the before and after photos .These images demonstrates the dentist’s skills and ability to transform specific problems
After looking at the results of patients if you feel that the results are what you also wish to have, in terms of look, quality you can go ahead with the said clinic
Smile Destination: Top Cities for Dental Veneers in Turkey
Turkey has established itself as a global leader in dental tourism, particularly for cosmetic procedures like veneers. Offering a blend of high-quality care, advanced technology, affordable prices, and the opportunity for a beautiful vacation, several cities stand out as prime destinations.
1. Istanbul: The Cosmopolitan Hub of Dental Excellence
As Turkey's largest city and cultural capital, Istanbul is the undisputed heart of its medical tourism sector. It caters to a global clientele looking for top-tier, comprehensive dental services.
Why Istanbul?
- Advanced Clinics: Hosts a vast network of cutting-edge, multi-specialty dental clinics often accredited by international bodies (like JCI/ISO).
- Technology Leader: Clinics frequently utilize the latest technology, including CAD/CAM systems for same-day or rapid veneer fabrication, and Digital Smile Design (DSD).
- Comprehensive Care: Ideal for patients needing complex treatments that combine veneers with other procedures (e.g., dental implants or orthodontics) due to the high concentration of specialists.
- Accessibility: Excellent international flight connections make it the most convenient destination for global travelers.
The Experience: Patients can combine their smile makeover with exploring historical sites like the Hagia Sophia, the Blue Mosque, and the Grand Bazaar.
2. Antalya: The Coastal Retreat for Smile Makeovers
Known as the "Turkish Riviera," Antalya is increasingly popular for those who want to combine their dental treatment with a relaxing Mediterranean holiday.
Why Antalya?
- Vacation & Treatment: Offers a more relaxed, resort-like atmosphere than Istanbul. Patients can recover on beautiful beaches and enjoy the sunny climate.
- Cost-Effectiveness: While high-quality, the overall cost of veneers and associated services is often slightly more budget-friendly than in Istanbul.
- All-Inclusive Packages: Many clinics offer streamlined packages that cover accommodation, airport transfers, and the dental care itself, ensuring a stress-free experience.
The Experience: Perfect for patients seeking quality care alongside a relaxing break, with opportunities to visit ancient ruins and enjoy modern resorts.
3. Izmir: The Aegean Gem for Personalized Care
Located on the stunning Aegean coast, Izmir offers a blend of quality dental care and a more laid-back, less crowded environment compared to Istanbul.
Why Izmir?
- Quality & Calm: Known for its high-level medical facilities and skilled specialists, but with a calmer, more personalized patient experience.
- Coastal Vibe: Provides an appealing coastal setting for recovery, allowing patients to enjoy the beaches and a vibrant but less intense city life.
- Modern Facilities: Features contemporary clinics utilizing advanced digital dentistry for precise aesthetic results.
The Experience: Suited for patients who prefer a peaceful setting while still accessing excellent, modern dental services.
4. Ankara: The Capital for High Standards
As the capital city, Ankara is a major center for education and government, which contributes to a high standard of medical training and facilities.
Why Ankara?
- Skilled Professionals: Clinics in Ankara are known for having highly educated dental professionals with strong national and international qualifications.
- Advanced Equipment: The city’s medical infrastructure supports well-established clinics equipped with advanced dental technology.
- Reliable Care: Offers a focus on established, high-quality dental practices, including complex and aesthetic procedures.
The Experience: A great choice for those prioritizing clinical expertise and advanced techniques in a non-coastal, metropolitan setting.
A Note on Budget-Friendly Alternatives While Istanbul and Antalya lead in international recognition and luxury options, cities like Eskisehir, Konya, and Kayseri are sometimes mentioned for offering quality treatments at even lower costs due to lower regional operational expenses. These can be good alternatives for the extremely budget-conscious traveler, though they may offer a less integrated tourism experience.
FAQS
Q1: How long will I need to stay in the country for a full set of veneers? Typically, you will need to plan for a stay of 5 to 7 days. The process usually involves two main appointments: Day 1-2 (Initial Prep): Consultation, X-rays, Digital Smile Design, tooth preparation, and placement of temporary veneers. Day 5-7 (Final Fitting): Try-in, final adjustments, and permanent bonding of the porcelain veneers. Pro Tip: Book your flights for a 7-day window to allow for a day or two of rest and flexibility in case of minor adjustments.
Q2: Does the lower cost abroad mean the materials are lower quality? Absolutely not, when choosing a reputable, accredited clinic. The difference in veneers cost in Turkey is due to economic factors, not material quality. Top clinics use the same premium materials (like E-Max and Zirconium from internationally recognized brands like Ivoclar Vivadent) and the same state-of-the-art technology (CAD/CAM milling machines) found in Western Europe or the US. Always ask the clinic to confirm the brand of porcelain they use.
Q3: What exactly is 'Digital Smile Design' and why is it important? Digital Smile Design (DSD) is a revolutionary process where the dentist uses high-resolution photos, videos, and scans of your mouth and face to digitally plan your new smile. It allows you to preview the final result on a screen and discuss changes (length, width, shape) before any permanent work is done. DSD ensures the final veneers perfectly match your facial features and aesthetic goals, eliminating guesswork.
Q4: Are my natural teeth destroyed during the process? A common concern is that veneers will destroy your teeth. This is a myth, especially when performed by a skilled cosmetic dentist. For traditional porcelain veneers, a small amount of enamel (usually less than 0.5 mm) must be removed to prevent the veneer from looking bulky. This is a necessary step. 'No-Prep' Veneers (like Lumineers) exist, but they are not suitable for all cases and may only be an option for minimal changes. A professional dentist will always aim to be as minimally invasive as possible.
Q5: What is the warranty, and what does it cover? Most reputable international clinics offer a 5 to 10-year warranty on porcelain or E-Max veneers. This warranty typically covers any breakage, falling off, or structural failure of the veneer itself due to material or manufacturing defects. It usually does not cover damage caused by patient negligence (e.g., biting hard objects, severe trauma, or lack of proper hygiene). Always get the warranty details in writing.
Q6: How can I ensure I don't get the 'Turkey Teeth' generic look? A: The term 'Turkey Teeth' is often used negatively to describe overly white, oversized, and generic-looking smiles. You avoid this by:
- Choosing the right material: E-Max offers the best, most natural translucency.
- Insisting on DSD: Use the Digital Smile Design process to communicate that you want a natural look, not a blindingly white, uniform color.
- Checking the Clinic's Portfolio: If all their 'after' photos look the same, they may not be focusing on personalized cosmetic design.
- Color Choice: Don't choose the brightest white shade (often called 'Hollywood White' or 'Bleach 1'). Opt for a naturally bright shade (like A1 or B1) if you want a white but realistic smile.
Conclusion
The dream of an affordable, flawless smile is more accessible than ever. By focusing your research on quality, package transparency, and leveraging the competitive veneer cost in Turkey and other hubs, you can confidently take the first step toward your new, radiant smile.













