Teeth Whitening Before & After Pictures
See remarkable teeth whitening transformations from our expert surgeons. Real patients, real results.

Teeth Whitening Procedure Time, Recovery & Expected Results
Procedure Time
About an hour to 90 minutes
Recovery Period
Instant, no downtime needed
Expected Results
Up to 8 shades whiter teeth and a more radiant smile
Patient Cases
Filter By Gender:
Remarkable Results After Teeth Whitening
See the transformative results of our patients who have undergone Teeth Whitening.
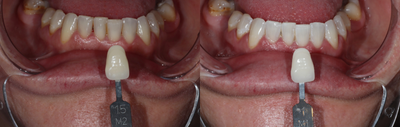
Case #7582
OTHER

35-44 year old man treated with Porcelain Veneers, Lumineers, Smile Makeover, Zoom Whitening
An 35 years old male patient has been referred to our clinic to close the gaps between his teeth.E,-max Laminate veneers have been applied to upper central and incisor teeth and the remaining teeth were whitened by bleaching. The final result was satisfactory.
Doctor: Kerem Turgut Atasoy, DDS, PhD
Case #7583
MALE

25-34 year old man treated with Zoom Whitening
During one appointment we were able to clean this patient's teeth and whiten his smile significantly with in-office Zoom! whitening.
Doctor: Brian Alan Klaich, DMD
front viewmaleage 25-34teethwhitenteeth cleaning
Case #7584
FEMALE

65-74 year old woman treated with Zoom Whitening
65-74 year old woman treated with Zoom Whitening
Doctor: Robert M. Klaich, DMD
front viewfemaleage 65-74enhancementteethwhiten
Case #7585
MALE

45-54 year old man treated with Zoom Whitening
This patient's was able to achieve optimal whitening results during one appointment with Zoom! in-office whitening.
Doctor: Robert M. Klaich, DMD
front viewmaleage 45-54enhancementteethwhitenin-office
Case #7586
FEMALE

45-54 year old woman treated with Zoom Whitening
Zoom whitening
Doctor: Zack Hegazin, DDS
front viewage 35-44femaleenhancementteethwhiten
Case #7587
MALE

18-24 year old man treated with Zoom Whitening
ZOOM whitening
Doctor: Andy Shieh, DMD
front viewmaleage 18-24enhancementteethwhiten
Case #7588
FEMALE

25-34 year old man treated with Zoom Whitening
ZOOM whitening
Doctor: Andy Shieh, DMD
front viewage 35-44female1 day post-openhancementteethwhiten
Case #7589
MALE

ZOOM! In-Office Teeth Whitening
ZOOM! In-Office Teeth Whitening
Doctor: Guy M. Lewis, DDS
front viewmaleage 18-24enhancementteethwhiten
Case #7590
FEMALE

ZOOM! In-Office Whitening Treatment
A Whiter Smile with our ZOOM! In-Office Whitening Treatment
Doctor: Guy M. Lewis, DDS
front viewfemaleage 45-54enhancementteethwhiten
