Dental Crowns Before & After Pictures
See remarkable dental crowns transformations from our expert surgeons. Real patients, real results.

Dental Crowns Procedure Time, Recovery & Expected Results
Procedure Time
Typically takes around 2-3 hours per tooth, including preparation and placement
Recovery Period
Most people can return to normal activities within a day or two
Expected Results
A strong, natural-looking crown that restores chewing function and confidence
Patient Cases
Filter By Gender:
Remarkable Results After Dental Crowns
See the transformative results of our patients who have undergone Dental Crowns.
Case #10737
OTHER

Patient treated with Dental Crown
Elevating smiles with our custom-crafted porcelain dental crowns
Doctor: Patricia Moezinia, DDS
top viewteethporcelaincrown
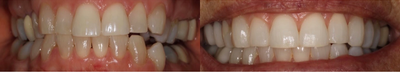
Case #10738
FEMALE

55-64 year old woman treated with Dental Crown
Full mouth rehab of crowns
Doctor: Matt Annese, DMD
front viewage 55-64female1 month post-openhancementteethcrown
Case #10739
FEMALE

45-54 year old woman treated with Dental Crown
Full upper arch crowns
Doctor: Matt Annese, DMD
front viewfemaleage 45-541 month post-openhancementteethcrownupper arch
Case #10740
FEMALE

45-54 year old woman treated with Dental Crown
Crowns done to remake smile
Doctor: Matt Annese, DMD
front viewfemaleage 45-54enhancement2 weeks post-opteethcrown
Case #10741
FEMALE

45-54 year old woman treated with Dental Crown
Smile makeover done with crowns
Doctor: Matt Annese, DMD
front viewfemaleage 45-541 month post-openhancementteethcrown
Case #10742
FEMALE

55-64 year old woman treated with Dental Crown
Patient wanted a nicer smile. Patient completed 35 weeks of Invisalign to straighten and correct bite, when teeth were in stable position metal crowns were replaced to ceramic, before picking final shade patient had kOR whitening done at the office.
Doctor: Matt Annese, DMD
front viewage 55-64female3 months post-opteethcrowncrowded teeth
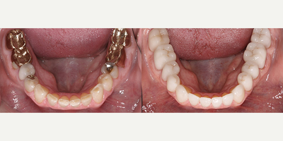
Case #10743
MALE

65-74 year old man treated with Dental Crown
Implants, Zirconia Crowns and Porcelain veneers
Doctor: Jepssy Beltre, DDS
maleage 65-741 day post-opoblique viewteethmissing teethcrown
Case #10744
FEMALE

35-44 year old woman treated with Dental Crown
Worn out short front teeth and bite restored with combination of emax crowns and porcelain veneers
Doctor: Anthony Mobasser, DDS, DMD
front viewage 35-44femaleveneerscrownfront teeth
Case #10745
FEMALE

35-44 year old woman treated with Dental Crown
Dark front tooth due to root canal, and chipped decayed front tooth was restored with strong porcelain crown to hide the dark color and the adjacent front tooth with dental veneer.
Doctor: Anthony Mobasser, DDS, DMD
front viewage 35-44femalediscolorationcrownfront teeth
