Robert M. Klaich, DMD Before & After Photos
See remarkable transformations from patients treated by Robert M. Klaich, DMD.
6 patient results

Patient Cases
Click any case to view full details
Remarkable Results by Robert M. Klaich, DMD
See the transformative results from patients treated by Robert M. Klaich, DMD.
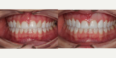
25-34 year old woman treated with Dental Bonding
This patient did not like the appearance and discoloration of her existing composites placed by previous dentist, but wanted to be conservative with her treatment. These composite veneers were able to be done at one appointment and the patient was very pleased with the results!
65-74 year old woman treated with Zoom Whitening
65-74 year old woman treated with Zoom Whitening
45-54 year old man treated with Zoom Whitening
This patient's was able to achieve optimal whitening results during one appointment with Zoom! in-office whitening.
25-34 year old man treated with Zoom Whitening
This patient wanted to whiten in-office before moving forward with other cosmetic work. Using Zoom! whitening we were able to maximize his results in one visit.
18-24 year old woman treated with Zoom Whitening
Our patient wanted immediate results with her whitening and was able to achieve that with one office visit and Zoom whitening!
18-24 year old woman treated with Zoom Whitening
This patient was interested in whitening options, but was wanted immediate results, as opposed to using trays or strips at home. Zoom was a great option for this patient to brighten her smile in one visit!

