Patricia Moezinia, DDS Before & After Photos
See remarkable transformations from patients treated by Patricia Moezinia, DDS.
7 patient results

Patient Cases
Click any case to view full details
Remarkable Results by Patricia Moezinia, DDS
See the transformative results from patients treated by Patricia Moezinia, DDS.
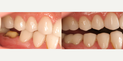
Patient treated with Dental Implants
Embrace your smile and newfound confidence courtesy of dental implants!
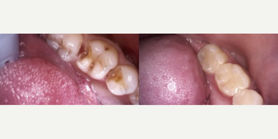
Patient treated with Dental Crown
Elevating smiles with our custom-crafted porcelain dental crowns
65-74 year old man treated with Dental Crown
65-74 year old man treated with Dental Crown
Woman treated with Botox
By inhibiting the movement of the muscles, Botox can be a useful tool to prevent the formation of wrinkles in the future, from an early age.Also prevents wrinkles from worsening, as they get deeper with repetitive facial movement.Botox takes less than 10 minutes to inject, and is the perfect lunchtime procedure to do while taking a quick break from Zoom calls.
Woman treated with Botox
Did you know that winter is the best time of year to get botox?Here are some advantages of botox in winter!Lower Sun Levels Minimize Sweating and SwellingLow Moisture Levels Can Accentuate WrinklesLonger life span for your BotoxLower Temperatures Lead to Longer Periods Between Procedures

