Kerem Turgut Atasoy, DDS, PhD Before & After Photos
See remarkable transformations from patients treated by Kerem Turgut Atasoy, DDS, PhD.
19 patient results

Patient Cases
Click any case to view full details
Remarkable Results by Kerem Turgut Atasoy, DDS, PhD
See the transformative results from patients treated by Kerem Turgut Atasoy, DDS, PhD.
35-44 year old man treated with Porcelain Veneers, Lumineers, Smile Makeover, Zoom Whitening
An 35 years old male patient has been referred to our clinic to close the gaps between his teeth.E,-max Laminate veneers have been applied to upper central and incisor teeth and the remaining teeth were whitened by bleaching. The final result was satisfactory.
55-64 year old woman treated with All-on-4 Dental Implants, Dental Implants
Our patient had severe bone loss and hopeless remaining teeth. We have performed extraction of hopeless teeth and All-on-4 implants for both jaws. After a 3 months of osseointegration period, we delivered her screw-retained fixed prosthesis.
55-64 year old woman treated with All-on-4 Dental Implants, Dental Implants
Our patient had severe bone loss and hopeless remaining teeth. We have performed extraction of hopeless teeth and All-on-4 implants for both jaws. After a 3 months of osseointegration period, we delivered her screw-retained fixed prosthesis.
55-64 year old woman treated with All-on-4 Dental Implants, Dental Implants
Our patient had severe bone loss and hopeless remaining teeth. We have performed extraction of hopeless teeth and All-on-4 implants for both jaws. After a 3 months of osseointegration period, we delivered her screw-retained fixed prosthesis.
45-54 year old woman treated with All-on-4 Dental Implants, Dental Implants
Our patient had an old mobile bridge in upper jaw and the teeth underneath were hopeless. We performed exttaction of.the teeth which have bone loss and performed All-on-4 implant treatment for upper jaw to avoid a prolonged treatment such as sinus lifting and bone grafting.Lower jaw has been treated by standard implant treatment with 6 implants.
45-54 year old woman treated with All-on-4 Dental Implants, Dental Implants
Our patient had an old mobile bridge in upper jaw and the teeth underneath were hopeless. We performed exttaction of.the teeth which have bone loss and performed All-on-4 implant treatment for upper jaw to avoid a prolonged treatment such as sinus lifting and bone grafting.Lower jaw has been treated by standard implant treatment with 6 implants.
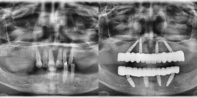
65-74 year old woman treated with All-on-4 Dental Implants, Dental Implants
Our patient had hopeless teeth in the beginning and we performed Allon4 implants for lower and conventional implants formupper jaw. Extractions and implant placements were done simultaneously.Zirconia fixed prostheses were delivered after a 3 months of healing time. Our patient has no bone loss or complaint in 3 years follow up.
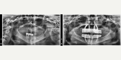
55-64 year old man treated with All-on-4 Dental Implants, Dental Implants
Our patient had severe periodontal disease and all teeth needed to be extracted.Allon4 for upper and conventional 6 dental implants for lower have been performed.
55-64 year old man treated with All-on-4 Dental Implants, Dental Implants
Our patient had severe periodontal disease and all teeth needed to be extracted.Allon4 for upper and conventional 6 dental implants for lower have been performed.
55-64 year old man treated with All-on-4 Dental Implants, Dental Implants
Our patient had severe periodontal disease and all teeth needed to be extracted.Allon4 for upper and conventional 6 dental implants for lower have been performed.
45-54 year old woman treated with All-on-4 Dental Implants, Dental Implants
All-on-4 for upper edentulous jaw and dental implants for partial edentulism in lower jaw has been performed 5 years ago. Our patient has quit smoking and there is no bone loss around implants in 5 years followup
45-54 year old woman treated with All-on-4 Dental Implants, Dental Implants
All-on-4 for upper edentulous jaw and dental implants for partial edentulism in lower jaw has been performed 5 years ago. Our patient has quit smoking and there is no bone loss around implants in 5 years followup
18-24 year old woman treated with All-on-4 Dental Implants, Dental Implants
A 23 years old lady had lost her teeth and only hopeless roots were present at the beginning. Although there were bone resorption at posterior maxilla and posterior mandible.An All-on-4 implant treatment was decided according to 3D CT. All teeth have been extracted and implants have been placed. An immediate temporary prosthesis has been delivered just after the surgery and patient was recommended to consume soft diet during 3 months of healing phase.In the end of 3 months, permanent ceramic prostheses were delivered. An aesthetic smile design protocol was performed to achieve ideal proportions in the permanent prostheses.
18-24 year old woman treated with All-on-4 Dental Implants, Dental Implants
A 23 years old lady had lost her teeth and only hopeless roots were present at the beginning. Although there were bone resorption at posterior maxilla and posterior mandible.An All-on-4 implant treatment was decided according to 3D CT. All teeth have been extracted and implants have been placed. An immediate temporary prosthesis has been delivered just after the surgery and patient was recommended to consume soft diet during 3 months of healing phase.In the end of 3 months, permanent ceramic prostheses were delivered. An aesthetic smile design protocol was performed to achieve ideal proportions in the permanent prostheses.
18-24 year old woman treated with All-on-4 Dental Implants, Dental Implants
A 23 years old lady had lost her teeth and only hopeless roots were present at the beginning. Although there were bone resorption at posterior maxilla and posterior mandible.An All-on-4 implant treatment was decided according to 3D CT. All teeth have been extracted and implants have been placed. An immediate temporary prosthesis has been delivered just after the surgery and patient was recommended to consume soft diet during 3 months of healing phase.In the end of 3 months, permanent ceramic prostheses were delivered. An aesthetic smile design protocol was performed to achieve ideal proportions in the permanent prostheses.
25-34 year old man treated with Dental Bone Graft, Dental Implants, Smile Makeover
Our patient had hopeless teeth in his upper jaw. Also high smile line was present which made the case difficult to achieve a good aesthetics. After digital analysis by the use of 3D CT, bone reduction, extraction of all hopeless teeth and placement of 8 implants was planned. After a 3 months of period, permanent fixed prosthesis has been delivered.
25-34 year old man treated with Dental Bone Graft, Dental Implants, Smile Makeover
Our patient had hopeless teeth in his upper jaw. Also high smile line was present which made the case difficult to achieve a good aesthetics. After digital analysis by the use of 3D CT, bone reduction, extraction of all hopeless teeth and placement of 8 implants was planned. After a 3 months of period, permanent fixed prosthesis has been delivered.
25-34 year old woman treated with Smile Makeover, Porcelain Veneers, Dental Crown
Our patient has been teated by E-max crowns and smile design. 10 E-max crowns have been delivered in upper jaw.
35-44 year old woman treated with Dental Crown, Smile Makeover, Lumineers, Dental Bridge, Porcelain Veneers
Our patient had gaps between her upper teeth and she was unhappy for this reason.We performed a digital smile design and deliveres E-max crowns. The final result is very satisfactory.

