Guy M. Lewis, DDS Before & After Photos
See remarkable transformations from patients treated by Guy M. Lewis, DDS.
40 patient results

Patient Cases
Click any case to view full details
Remarkable Results by Guy M. Lewis, DDS
See the transformative results from patients treated by Guy M. Lewis, DDS.
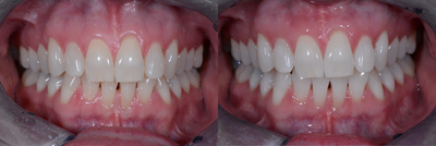
Dental Bonding to Fix Gap Between Teeth
To fix the gap between our patient's two front teeth, the doctor used dental bonding! The color matches perfectly with his natural teeth.
Dental Bonding for a Small Chip
This patient has a small chip in her #9 front tooth. Dr. Lewis was able to bond the tip of the tooth and make it look as good as new! You can't even tell she chipped her tooth because the color matches so perfectly.
Dental Bonding using a Porcelain Veneer
This patient chipped her tooth and came to Dr. Lewis to get it fixed. You can't even tell she chipped her tooth in the first place. The color of the veneer matches perfectly with her natural teeth.
Dental Bonding to Fix a Chipped Tooth
This patient needed her front tooth bonded after chipping it. The doctor did a great job making the tooth look as good as new. You can't even tell she chipped it in the first place!
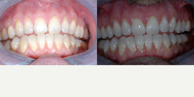
ZOOM! In-Office Whitening Treatment
A Whiter Smile with our ZOOM! In-Office Whitening Treatment
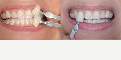
ZOOM! Teeth Whitening Treatment
This patient experienced great results with the in-office ZOOM! whitening treatment. An hour is all it takes!
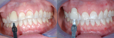
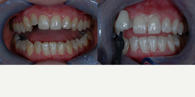
ZOOM! Teeth Whitening Before Veneers
This patient got her teeth whitened with the ZOOM! whitening treatment before her appointment for veneers.
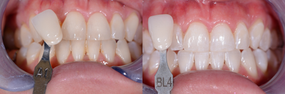
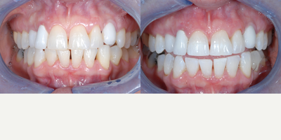
Zoom Whitening
This patient received great results with the ZOOM! in-office teeth whitening. Book an appointment today to get whiter and brighter teeth!
ZOOM! In-Office Teeth Whitening
Just an hour in our office means you can easily have teeth a few shades whiter with the ZOOM! in-office teeth whitening.
ZOOM! In-Office Teeth Whitening
Great results with the ZOOM! in-office teeth whitening.
35-44 year old man treated with Zoom Whitening
Great results with the ZOOM! in-office teeth whitening!
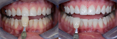
ZOOM! In-Office Teeth Whitening
This patient experienced great results with the ZOOM! in-office teeth whitening treatment! His teeth are now multiple shades whiter than before.
ZOOM! In-Office Teeth Whitening at TCCD
Teeth can become multiple shades whiter in just an hour with the ZOOM! in-office teeth whitening treatment.
ZOOM Teeth Whitening!
Great whitening results in our office! She loved the brighter shade of her teeth.
ZOOM In-Office Teeth Whitening
Our ZOOM in-office teeth whitening treatment always provides fantastic results with our patients! We provide ibuprofen before the treatment starts just in case there is any discomfort throughout
Our In-Office ZOOM! Whitening Treatment
This patient wanted to whiten his teeth with our ZOOM! treatment. Within an hour he was able to see the great results he desired!
ZOOM! In-Office Teeth Whitening
This patient came to our office to receive our ZOOM! In-Office Teeth Whitening Treatment.
ZOOM! In-Office Teeth Whitening Treatment
These before and after photos are unbelievable! Her smile is glowing!
ZOOM! In-Office Teeth Whitening
This patient simply wanted a whiter and brighter smile, so she came into our office to receive a ZOOM! Teeth Whitening treatment. Her smile looks fresh and renewed and all it took was an hour!
Zoom Whitening
The patient was given 4 Ibuprofen before starting his whitening treatment. Upper and lower full arch impressions were taken for take home trays, and then the gum tissue was isolated with liquid dam. The Boost gel was on the teeth for two 20 minute sessions, then Vitamin E oil was placed on the gum tissue. The patient wore the take home trays with relief gel for 30 minutes after his whitening treatment, and he left the office with zero sensitivity!
Zoom Whitening
This patient was unhappy with the yellow tint her teeth had. She came to our office for our ZOOM! Whitening treatment. She had amazing results and is now happy with her pearly white smile. As you can tell, the whitening treatment made a significant difference!
Zoom Whitening
The patient was given 4 Ibuprofen prior to the whitening treatment. Upper and lower full arch impressions were taken in order for the patient to have take-home trays.
Zoom! Teeth Whitening in Houston, TX
Vitamin E Oil was first placed on the patient's lips. Her gums were lined with liquid dam, and then cured with the curing light. The bleach was then placed on all of her visible teeth. The UV Zoom light guard was then placed on the patient's lips and her first session started. The whitening bleach stayed on the patient's teeth for four 15 minute sessions. Once her teeth were cleaned off and the liquid dam was taken off of her gums, patient was ready to leave!
ZOOM! Whitening Treatment Fixes Stained Teeth
This patient's teeth were dark and discolored due to drinking coffee. She wanted a whiter and brighter smile, so she came to our office to try out the ZOOM! In-Office Teeth Whitening! After just an hour of the whitening process, her teeth are just they way she wanted them! Her teeth are no longer stained from coffee.
ZOOM! Teeth Whitening
Look at the difference in before and after shades that the ZOOM! In-Office Teething Whitening Treatment gave this patient! What beautiful smile for her to show off!
Zoom! Whitening for Male Patient - Great Results!
Before attending a charity event, this patient wanted to lighten his teeth as much as he could. His teeth were a dark yellow tint, and he was not happy with their color. After just 1 hour of whitening, this patients teeth were significantly lighter than before. Although he was still having trouble whitening one front tooth, he was happy with the new brightness of his teeth!
Zoom! In-Office Teeth Whitening
Our patient is in love with the results he received form our in-office Zoom Teeth Whitening treatment! Just look at the difference in shades!
Zoom Teeth Whitening
Before starting, the patient was given 2 Advil to help with sensitivity throughout the treatment. Some upper and lower impressions were taken for the patient to have take-home bleach trays. Isolation material was placed on her gums before the whitening gel was placed on her teeth for a total of one hour. The patient did great and only experienced mild sensitivity, which is completely expected, throughout the entire treatment. She loves how effective the Zoom treatment was for her!
Zoom Teeth Whitening
This patient was unhappy with the stains that were very noticeable on her two front teeth. She decided two test out ZOOM! to see if it would help make her stains look less visible and sure enough, it did! She loved the results she received from this whitening treatment!
Zoom! In-Office Teeth Whitening Treatment
Before starting the treatment, the patient was given 4 ibuprofen to help with any sensitivity that may have occurred. Upper and lower full arch impressions were taken so the patient could receive take-home bleach trays. After her gums were isolated with liquid dam, the whitening gel was put on her teeth for four 15 minute sessions. She experienced mild sensitivity during the last two sessions which is normal for this treatment. After the whitening gel and liquid dam were removed, Vitamin E Soothing Oil was placed on the lips and gum tissue. She was given relief gel along with her take home trays. She loves her pearly white smile!
Zoom Teeth Whitening Treatment
This patient simply wanted a whiter and brighter smile. She was given 4 Ibuprofen before starting the treatment. The liquid dam was placed on the gums and the whitening gel was placed on the teeth. The gel stayed on for four 15 minute sessions. She didn't experience any sensitivity during the session and left very happy with her results!
Zoom Whitening Treatment for Female Patient
When the patient arrived, she was given 4 ibuprofen to help with any possible sensitivity. Upper and lower full arch impressions were taken so she could have take-home trays. Her gums were isolated with liquid dam and the whitening gel was placed on the teeth for four 15 minute sessions. She didn't experience any sensitivity, but we gave her relief gel along with her take-home trays just in case she had some discomfort throughout the rest of the day. She left very happy with the amazing results she received from our Zoom! in-office whitening treatment.
In-Office Zoom Whitening Treatment for Female Patient
This patient came to our office wanting nothing more than a whiter smile. Before starting, she took 4 Ibuprofen in case she experienced any sensitivity. Sunscreen was applied to her nose, lips, and mouth area. Relief gel was placed on the lingual surfaces of her teeth before isolating her gums with the liquid dam. The whitening gel was placed on her teeth after that and stayed on for a total of one hour. She didn't experience any sensitivity throughout the treatment! She has some pearly white teeth to show off now.
In-Office Zoom Whitening for Female Patient
This patient came to us wanting nothing more than pretty white teeth. She has always wanted a beautiful and confident smile, so she tried out our Zoom Teeth Whitening. In a 2 hour appointment, she was able to whiten her teeth by multiple shades!
In-Office Zoom Whitening for Male Patient at TCCD
This patient came in for our in-office whitening. He was given 4 Ibuprofen prior to starting to ensure he didn't experience any sensitivity. The liquid dam was placed around the gum tissue, and the Zoom 25% Hydrogen Peroxide Light-Activated Whitening Gel was placed on his teeth for four 15 minute sessions. He experiences little to no sensitivity throughout the entire process. His teeth are significantly whiter, as you can tell!
Zoom Whitening for Female Patient
This patient has a few crown on her upper teeth that are many shades whiter than her other natural teeth. Her goal was to get them as white as her crown shade! After an hour of treatment, her natural teeth are so much closer to the white shade she was looking for. You could hardly tell a difference when the patient was smiling! She loves her results and is very pleased with how much more her teeth match now!

