Brian Alan Klaich, DMD Before & After Photos
See remarkable transformations from patients treated by Brian Alan Klaich, DMD.
7 patient results

Patient Cases
Click any case to view full details
Remarkable Results by Brian Alan Klaich, DMD
See the transformative results from patients treated by Brian Alan Klaich, DMD.
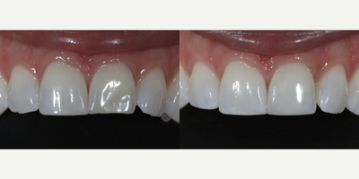
25-34 year old woman treated with Dental Bonding
This patient had chipping and staining around her gumline and she was looking for a conservative treatment option that was aesthetically pleasing. Using dental bonding we were able to restore her smile, achieving the perfect blend of aesthetics with minimally invasive treatment.
35-44 year old woman treated with Dental Bonding
This patient did not like her front tooth but was not interested in getting porcelain veneers. Using bonding material we were able to do a chairside veneer to address the shape and color discrepancies of her front tooth.
65-74 year old woman treated with Dental Bonding
This patient chipped her front tooth and needed to be seen as soon as possible. We were able to accommodate her schedule and restore her chipped tooth using dental bonding that looked identical to the rest of her smile. The patient could not have been happier with the final results and is back to her smiling self!
25-34 year old man treated with Zoom Whitening
During one appointment we were able to clean this patient's teeth and whiten his smile significantly with in-office Zoom! whitening.
35-44 year old woman treated with Zoom Whitening
This patient was interested in whitening, but did not want to do trays at home. Zoom gave her instant results with limited sensitivity!
55-64 year old man treated with Zoom Whitening
This patient was interested in whitening his teeth but didn't have much success with over the counter products. He has moderate to significant sensitivity with at home treatments, so he preferred to do in-office Zoom Whitening. We were able to drastically lighten the shade of his teeth with one in office visit!
18-24 year old woman treated with Zoom Whitening
This patient was interested in Zoom Whitening for her senior portraits. She has a history of tray whitening, but was unsatisfied with results and had prolonged sensitivity. During her Zoom appointment, the patient had limited sensitivity and was very pleased with the drastic shade change!

