Anthony Mobasser, DDS, DMD Before & After Photos
See remarkable transformations from patients treated by Anthony Mobasser, DDS, DMD.
6 patient results

Patient Cases
Click any case to view full details
Remarkable Results by Anthony Mobasser, DDS, DMD
See the transformative results from patients treated by Anthony Mobasser, DDS, DMD.
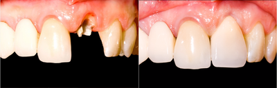
25-34 year old man treated with Dental Implants
Patient with irregularly sized teeth, improper alignment, and discoloration corrected by Dental Implant procedure.
Dental implants to restore bite and cosmetics
The missing back teeth were restored with dental implants, bone grafting, and porcelain Zerconia aesthetic crowns. The front teeth were completed with dental veneers, so when combined with dental implants and porcelain crowns.
35-44 year old woman treated with Dental Crown
Worn out short front teeth and bite restored with combination of emax crowns and porcelain veneers
35-44 year old woman treated with Dental Crown
Dark front tooth due to root canal, and chipped decayed front tooth was restored with strong porcelain crown to hide the dark color and the adjacent front tooth with dental veneer.
45-54 year old woman treated with Dental Crown
Smile make over done with combination of redo porcelain crowns and veneers with emax porcelain
Dental Crown Procedure Before and After
30-35 year old female patient treated with a Dental Crown

