Real Patient Results
Andy Shieh, DMD Before & After Photos
See remarkable transformations from patients treated by Andy Shieh, DMD.
4 patient results

Patient Cases
Click any case to view full details
Remarkable Results by Andy Shieh, DMD
See the transformative results from patients treated by Andy Shieh, DMD.
#10981FEMALE
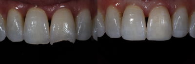
25-34 year old woman treated with Dental Bonding
Wanted to lengthen her tooth for more symmetry
#11015FEMALE
45-54 year old woman treated with Dental Bonding
Composite bonding (white resin filling)
#7587MALE
#7588FEMALE

